Crime Solvers Central
CSC
233 Cases Solved. Advancing justice for missing persons, unsolved homicides, unidentified and unclaimed remains.
Case Description
Any updates on this case? Let us know!
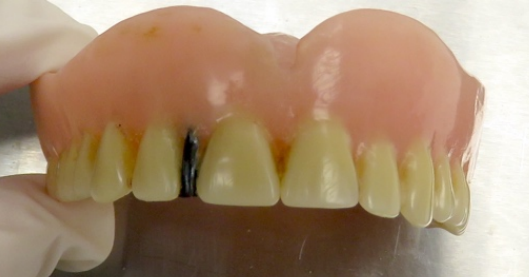
On 1/7/2023, the MEO was notified of a decedent that was found floating in the Atlantic Ocean approximately 10 miles offshore. He is clad in a blue in color long sleeve shirt. He was wearing no jewelry and had no identification.
Date Found: 2023-01-07
Links to Additional Sources (1)
See any mistakes? Let us know!
Victim Details

Apr 21, 2023

Jan 12, 2024

45377

ME23-19-0014

Adult - Pre 30

61971

67 inches

93 lbs

104 lbs

White / Caucasian

Multiple

Male

2023-01-07

Atlantic Ocean 10 miles off shore. Body was brought to shore in Martin County

Florida

Martin County

No

42034

Coast Guard Investigative Service - Miami Field Office

Opa Locka

Florida

Miami-Dade County

14750 NW 44th Court, , Opa Locka, Florida

7862361353

Other

Law Enforcement

1333882

2023-01-07

Gray or Partially Gray

Straight brown and gray scalp hair measures up to approximately 1/8 in

Unknown

Unknown


Area Recovered: